Sacroiliita sau sacroileita este o afecțiune inflamatorie care afectează articulațiile sacroiliace, situate în partea inferioară a coloanei vertebrale.
Aceste articulații au un rol crucial în transferul greutății corpului între coloana vertebrală și bazin, și joacă un rol esențial în mișcarea și susținerea corpului.
În timp ce sacroiliita este în principal asociată cu problemele reumatice, cercetările recente au identificat o posibilă legătură între această afecțiune și intervențiile neurochirurgicale.
Se pare că inflamația și durerea asociate cu sacroiliita pot avea un impact asupra pacienților care suferă de afecțiuni neurochirurgicale, cum ar fi hernia de disc lombară sau compresiile nervoase.
Sacroileita poate fi asociată și cu poliartrita reumatoidă, o boală autoimună cronică care afectează articulațiile. În cazul poliartritei reumatoide, inflamația articulațiilor poate extinde și implica articulațiile sacroiliace, cauzând simptome precum durere și rigiditate.
Prin înțelegerea acestor conexiuni, un neurochirurg bun poate aborda pacienții într-un mod mai complet și mai integrativ.
Prin tratarea sacroileitei înainte sau în paralel cu intervențiile neurochirurgicale, se poate obține o rezolvare mai eficientă a simptomelor și o recuperare mai rapidă pentru pacienți.
Care sunt cauzele sacroiliitei?
Există mai multe cauze potențiale de inflamație în articulațiile sacroiliace. Acestea includ:
- Spondilita anchilozantă: Acesta este un tip progresiv de artrită inflamatorie care afectează coloana vertebrală și șoldurile. Sacroiliita este adesea un semn precoce al acestei afecțiuni. Nu toate persoanele care suferă de sacroiliită au spondilită anchilozantă .
- Traumă: O leziune traumatică bruscă poate afecta articulațiile sacroiliace și poate provoca inflamație, ducând la sacroileită degenerativă.
- Sarcina: În timpul sarcinii, articulațiile sacroiliace se întind pentru a face loc bebelușului în creștere. Acest lucru poate pune stres asupra articulațiilor și poate provoca sacroiliită.
- Infecție: Dacă articulația sacroiliaca se infectează, aceasta devine inflamată și predispusă la deteriorare.

Simptomele sacroiliitei
Principalele simptome ale sacroiliitei includ:
- durere în fese și în partea inferioară a spatelui
- durere în spatele unuia sau ambelor picioare
- rigiditate la șolduri și partea inferioară a spatelui
Uneori, sacroiliita poate provoca dureri la nivelul șoldurilor și picioarelor, deși acest lucru este mai puțin frecvent. Sacroileita poate provoca, de asemenea, durere în mod intermitent. Simptomele pot fi mult mai intense noaptea sau la trezire.

Diagnosticul sacroiliitei
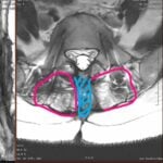
Diagnosticul sacroiliitei sau sacroileitei implică de obicei evaluarea simptomelor și anamnezei pacientului, examinarea clinică și utilizarea unor investigații suplimentare.
Printre acestea, RMN-ul (interpretare RMN) reprezintă o metodă de imagistică avansată utilizată pentru a identifica inflamația și modificările structurale la nivelul articulațiilor sacroiliace.
Aceasta oferă o imagine detaliată a țesuturilor moi și a structurilor osoase, permițând medicului să formuleze un diagnostic precis și să stabilească un plan de tratament adecvat pentru pacient.
Sacroileita poate fi greu de diagnosticat pentru că durerile de spate pot fi cauzate de diferite afecțiuni. Ca rezultat, un medic poate diagnostica sacroiliita prin excluderea altor afecțiuni.
Cum poate fi tratată sacroiliita
Există o varietate de tratamente disponibile pentru sacroileită. Acestea includ medicamente, exerciții și proceduri chirurgicale. Următoarele medicamente pot ajuta la tratarea sacroiliitei:
- Analgezice: Medicamentele pentru durere fără prescripție medicală (AINS) pot oferi o oarecare ameliorare. Un medic poate prescrie medicamente mai puternice dacă AINS nu ajută.
- Relaxante musculare: Sacroileita poate provoca spasme musculare care pot fi dureroase. Relaxantele musculare pot ajuta la ameliorarea acestora.
- Inhibitori de TNF: acest tip de medicamente poate ajuta să reducă durerile articulare sacroiliace dacă sunt asociate cu spondilita anchilozantă.
Pe lângă medicamentele prescrise, următoarele proceduri fizioterapie coloană și exerciții la domiciliu pot ajuta la ameliorarea sacroiliitei:
- Odihnă: Evitarea mișcărilor care agravează sacroileita poate ajuta la reducerea inflamației.
- Gheață și căldură: plasarea alternativă de gheață și comprese calde pe zona afectată poate ajuta la ameliorarea sacroiliitei.
- Exerciții de flexie a șoldurilor: Acest exercițiu presupune culcarea pe spate cu picioarele susținute de o cutie sau pernă. O persoană va încrucișa apoi un picior peste celălalt, va strânge picioarele împreună și apoi va elibera.
Tratamentul chirurgical sacroiliita
În cazurile severe în care medicamentele și exercițiile nu ameliorează sacroileita, medicul poate recomanda una dintre următoarele intervenții chirurgicale sau proceduri:
- Stimulare electrică: un medic poate implanta un stimulator electric în sacru, care poate ajuta la reducerea durerii.
- Infiltrații sub ghidaj CT: injectarea în articulația sacroiliac poate ajuta la reducerea inflamației și durerii. Cu toate acestea, dacă nu sunt îmbunătățiri și sunt necesare prea multe injecții într-un interval de timp prea scurt pot apărea alte probleme.
- Denervarea cu radiofrecvență: Acest tip de tratament funcționează asupra țesutului nervos care poate provoca dureri sacroiliace.
- Fuziunea articulară: în cazurile severe, fuzionarea celor două oase cu o placă metalică sau alte dispozitive de fuziune poate ajuta la ameliorarea sacroiliitei.
În concluzie, în cazul sacroiliitei, un consult neurochirurgical devine esențial în situațiile în care apar complicații neurologice.
Evaluarea și tratamentul adecvat oferite de neurochirurgi sunt necesare pentru a aborda aceste complicații și pentru a asigura un plan terapeutic eficient în vederea ameliorării simptomelor și a îmbunătățirii calității vieții pacienților.
Alătură-te comunității noastre pe social media pentru a fi mereu la curent cu cele mai recente știri, informații medicale și sfaturi utile! Urmați-ne pe Facebook şi Youtube pentru actualizări zilnice, articole informative și evenimente speciale. Fiți parte din comunitatea noastră online și descoperiți cum putem îmbunătăți împreună starea dvs. de sănătate.
Doctor Stefan Mindea
Doctor Stefan Mindea este un medic neurochirurg Roman format in Statele Unite ale Americii, recunoscut la nivel international ca si specialist in neurochirurgie ultra minim invaziva spinala si adresand patologii degenerative (hernia de disc vertebrala) cat si patologii oncologice (metastaze si formatiuni tumorale spinale) folosind tehnologii precum Cyberknife. Detalii Autor